Mettre en valeur la diversité des pratiques et des thèmes de recherche de la communauté académique est une mission centrale du Collège des sociétés savantes académiques de France
Le concours Photos “Sciences grand angle” organisé pour la deuxième année par le Collège a pour but d’illustrer – auprès du public, mais aussi entre disciplines académique – la diversité des activités de recherche par la constitution d’une banque d’images d’objets d’études et de portraits de scientifiques en action.
Deux catégories de photos pouvaient être soumises : “La construction des savoirs” et “objets d’études”. La première catégorie illustre la démarche de recherche en montrant des scientifiques dans leur environnement de travail, ainsi que des installations ou bâtiments de recherche. La seconde illustre des objets d’études scientifiques, de l’atome à l’univers en passant par les livres, les plantes, les objets archéologiques ou mathématiques, etc.
Les photos seront présentées à deux jurys : un jury du Collège principalement constitué de professionnels de l’image, et un jury du jeune public, constitué des élèves de classes des collèges et lycées participant à l’opération.
6 prix seront décernés en 2025:
Prix du jury du Collège:
- Objets d’études
- Objets d’études LLSHS
- Objets d’études S&T
- Objets d’études SVE
- La construction des savoirs (toutes disciplines)
Prix du jeune public
- Objets d’études (toutes disciplines)
- La construction des savoirs (toutes disciplines)
Le règlement 2025 du concours est ICI.
-
Galeries de photos. Cliquez sur le titre pour ouvrir la galerie
-
La galerie “Objets d’études” contient 75 photos
– 8 en Lettres Langues SHS
– 23 en Sciences et technologies (sciences exactes et pour l’ingénieur)
– 44 en Sciences de la vie et de l’environnement
-
La galerie “Construction des savoirs” contient 40 photos
Objets d'études
Visualisation tridimensionnelle d’un astrocyte hippocampique.
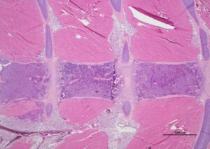
Coupe transversale d’un muscle en régénération
Retournement de situation
Quand les animaux marins se prennent pour des fleurs (descendance de la crinoïde A. mediterranea
Les crinoïdes: les “étoiles de mer plumeuses” se parent de leurs couleurs les plus flamboyantes
Germandrée métisse au sud de Marseille
Thermodynamique des groupes de Lie de Jean-Marie Souriau
L’annonce d’une belle nuit d’observations à venir !
Faire du muscle à partir de cellules de peau
Ceci n’est pas un graffiti
Plantons les retenues d’altitude !
Zoom sur larve de libellule
Nerfs périphériques en cours de formation chez l’embryon de souris
Nerfs périphériques dans l’embryon
Aurore boréale violacée dans un tube de verre: beauté et poésie des plasmas
Diversité florale des Germandrées au sud de Marseille
La Terre tourne, les étoiles dansent
Remonter l’Histoire de la Voie Lactée
Micro-cohabitation aquatique
Identifier l’état de santé du sol gelé du Labrador (Canada
Géométrie des Domaines Bornés Symétriques (Jean-Louis Koszul maillé ans le disque de Poincaré)
Le joli laser nous aime !
Irish You Dreams in Green
Étoile filante et télescope
Bassin versant de fissures
Un Voyage à Travers les Étoiles et la Voie lactée
Les nuances de la matière
Quand la lumière révèle l’apparence fantomatique des cellules leucémiques
Le squelette face aux cellules cancéreuses : une bataille acharnée !
Progéniteurs Fibro-Adipogéniques
Communications nerfs et tumeur in vitro
La planète cytomégalovirus
Issa Cissokho, 12 décembre 2024, Nantes
Joseph Bernardo, 14 février 2019, Marseille
Entre ciel et mer : l’école les pieds dans l’eau
La construction des savoirs
Petit cailloux, Grand savoir
L’étude scientifique, aussi sous le soleil du “terrain” marin
Mémoire vive sur lac gelé. Rencontre hivernale avec l’art des Premiers Peuples
Même sales, ces eaux parlent aux chercheurs.
Le cochon qui voulait tout savoir sur la Covid-19
Une visiteuse de passage au Very Large Telescope
Star Wars dans le désert d’Atacama
Observer, analyser et comprendre l’invisible
Rivé au Ciel, Tourné vers les Étoiles
Le calme avant la lumière des étoiles
Imagerie hyperspectrale sur glace. Quand la technologie dialogue avec des traces millénaires
Mesurer la température pour comprendre l’état de santé du sol gelé au Labrador (Canada)
Etude géophysique du sol gelé (pergélisol ou permafrost) sur le littoral subarctique du Labrador (région de Nain, Canada).
Jubilation intellectuelle
Première rencontre de la jeune recherche en droit de l’environnement
Des lacs sous surveillance
Un œil tourné vers l’invisible
Cordon ombilical vers les profondeurs
L’Héritage des Pionnières : Une Nuit sous les Étoiles
Au laboratoire, pas de répit pour les cellules
À -196°C, la vie en pause
Zacharie Noah, 23 décembre 2010, Yaoundé
Ahmed Benamara, 11 juillet 2006, Oran
Le plaisir d’apprendre et de transmettre